Füllungstherapie

Amalgam
Bei Amalgam handelt es sich um Legierungen aus Quecksilber und anderen Metallen. Meist werden Amalgamfüllungen im Bereich der Kauflächen der Seitenzähne verwendet. Als Nachteil wird das silberne Aussehen empfunden.

Kunststoff
Ein maßgeblicher Vorteil bei dieser Versorgung liegt darin,dass Kunststoff der eigenen Zahnfarbe angepasst wird und die Füllung damit fast unsichtbar ist. Gerade im Frontzahnbereich ist das von großer Bedeutung.Auch Seitenzähne können mit den heute erhältlichen Kunststoffen optimal versorgt werden.

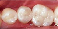
Inlays/Teilkronen
Ist der Substanzverlust zu groß, so ist der Zahn stark geschwächt und muss mittels laborgefertigten Inlays (Einlagefüllungen) aus Keramik oder Gold wieder stabilisiert werden.

Goldinlays/Teilkronen        
Keramikinlays/Teilkronen
Goldinlays werden hauptsächlich im Seitenzahnbereich verwendet, da sie nicht zahnfarben sind. Dennoch bieten sie eine optimale Versorgung und werden wegen ihrer langen Lebensdauer und ihren guten biologischen Eigentschaften geschätzt.  

Diese Inlays bieten eine optimale Ästhetik und sind so gut wie unsichtbar. Keramik ist hervorragend für den sichtbaren Bereich der Zähne geeignet und trägt dazu bei, dass Sie auch weiterhin selbstbewusst Ihr attraktives Lächeln präsentieren können.

<<< Zurück